Este ceea ce femeile le spun bărbaţilor de zeci de ani: stimularea vaginului nu este acelaşi lucru cu stimularea clitorisului. Acum, tehnica scanării creierului aduce informaţii suplimentare care le întăresc argumentul. Detalii, în continuarea articolului.
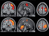
Locurile exacte ce corespund vaginului, colului uterin şi mameloanelor femeilor pe cortexul senzorial al creierului au fost „cartografiate” pentru prima dată, dovedind că stimularea vaginală activează regiuni diferite ale creierului de cele activate prin stimularea clitorisului. Studiul a constatat, de asemenea, o legătură directă între mameloane şi organele genitale, ceea ce poate explica de ce unele femei pot avea orgasm doar prin stimularea mameloanelor. Descoperirile ar putea ajuta femeile care au suferit leziuni ale nervilor la naştere sau pe timpul unor boli.
Cortexul senzorial este o bandă de ţesut cerebral poziţionată aproximativ sub elementul de prindere al unei perechi de căşti. De-a lungul ei, neuronii legaţi de diferite părţi ale corpului îşi transmit între ei parte din informaţiile senzoriale primite. Acest lucru este adesea descris ca "homunculus senzorial", o imagine deformată a unui om întins de-a lungul creierului, cu organele genitale situate lângă picioarele lui. Dimensiunea părţilor corpului arată ce porţiune din creier este dedicată prelucrării informaţiilor senzoriale de la fiecare parte a corpului.

Până recent, nimeni nu ştia cu siguranţă ce se întâmplă la nivelul creierului femeii în timpul actului sexual. Scanarea creierului arată în prezent faptul că stimularea diferitelor regiuni erogene activează zone diferite.
Schema a fost publicată pentru prima dată în 1951, după experimente efectuate în timpul intervenţiei chirurgicale cerebrale cu pacienţi conştienţi. Chirurgul a stimulat electric diferite regiuni ale creierului pacienţilor, iar pacienţii spuneau la nivelul cărei părţi a corpului lor simţeau senzaţia ca rezultat. Dar toţi subiecţii au fost bărbaţi. Până de curând, poziţia organelor genitale feminine pe homunculus a fost doar bănuită.
Acest lucru s-a schimbat anul trecut, când o echipă condusă de Lars Michels de la Spitalul Universitar pentru Copii din Zurich, Elveţia, au folosit imagistica prin rezonanţă magnetică funcţională pentru a confirma faptul că poziţia clitorisului pe homunculus se află aproximativ în aceeaşi poziţie cu penisul la bărbaţi. Barry Komisaruk de la Rutgers University din Newark, New Jersey şi colegii săi au folosit acum aceeaşi metodă pentru a cartografia poziţia clitorisului, a vaginului şi a colului uterin pe cortexul senzorial pe măsură ce femeile s-au autostimulat.
"Aceasta este o dovadă puternică că există o diferenţă mare între aceste regiuni diferite", spune Stuart Brody de la Universitatea de Vest din Scoţia în Paisley, Marea Britanie, unul dintre cercetătorii implicaţi în studiu. Unii au susţinut că femeile care obţin plăcere prin stimularea vaginală, fac acest lucru deoarece clitorisul lor este stimulat în mod indirect, dar rezultatele actuale contrazic acest lucru. "Acestea susţin rapoartele femeilor care experimentează orgasmul la diferite forme de stimulare", spune Beverly Whipple, de asemenea, de la Universitatea Rutgers, care nu a fost implicată în studiu.
Mameloanele
Komisaruk, de asemenea, a verificat ceea ce s-a întâmplat atunci când mameloanele femeilor au fost stimulate şi a fost surprins să afle că nu s-a activat doar zona pieptului de la nivelul cortexului, ci şi zona genitală. "Când le spun colegilor mei neurologi de sex masculin despre acest lucru, ei spun: "Uau, este o excepţie de la homunculusul clasic". "Dar când le spun femeilor, acestea spun: "A, da?". Aceasta ar putea explica de ce o mulţime de femei susţin că stimularea sfârcurilor este erotică, adaugă el.
Următorul pas este de a cartografia ce alte zone ale creierului se activează ca răspuns la stimularea clitorisului şi a vaginului. Komisaruk ar dori, de asemenea, să vadă ce se întâmplă atunci când zona care conţine prepusul punct G este stimulată, deoarece la femeile din studiul actual s-a stimulat doar peretele frontal al vaginului.
Descoperirile ar putea ajuta, de asemenea, femeile care au suferit leziuni ale nervilor la naştere sau datorate unor boli precum diabetul. Michels are dovezi preliminare că stimularea nervului clitorisului poate ameliora simptomele de incontinenţă urinară, dar spune că o înţelegere adecvată a modului în care se proiectează nervii pe creier este necesară pentru a transforma acest lucru în tratament eficient.
Între timp, Komisaruk spune că stimularea sfârcurilor ar putea spori senzaţia genitală la femeile cu leziuni ale nervilor. "Ar putea fi un supliment pentru a experimenta orgasmul", spune el.
Textul de mai sus reprezintă traducerea articolului sex-on-the-brain-what-turns-women-on-mapped-out publicat de New Scientist. Scientia.ro este singura entitate responsabilă pentru eventuale erori de traducere, Reed Business Information Ltd şi New Scientist neasumându-şi nicio responsabilitate în această privinţă.
Traducere: Ecaterina Pavel
