
Bolile hepatice sunt înfricoșător de frecvente la nivel mondial. Steatoza hepatică asociată cu disfuncția metabolică (metabolic dysfunction-associated steatotic liver disease - MASLD) este un termen generic ce descrie afecțiuni corelate cu acumularea de grăsime în ficat. Cunoscută anterior sub numele de „boala ficatului gras non-alcoolic”, această afecțiune afectează 1 din 4 persoane la nivel mondial.
Printre cei cu diabet de tip 2, rezistență la insulină, obezitate sau toate cele trei, prevalența MASLD crește la 3 din 4 persoane.
Ca diabetolog, posibilitatea existenței unei boli hepatice este mereu în mintea mea atunci când văd un pacient. Înțelegerea riscului de a dezvolta această afecțiune comună este esențială pentru tratarea acesteia.
Ce este MASLD?
MASLD este o afecțiune complexă care are atât baze genetice, cât și de mediu.
În stadiile sale incipiente, celulele hepatice acumulează grăsime într-un proces numit steatoză.
Principalele surse ale acestei grăsimi includ țesutul adipos, precum și acizii grași pe care ficatul îi produce ca răspuns la rezistența la insulină și la aportul caloric excesiv. Această acumulare de grăsime poate mări ficatul și poate interfera cu funcționarea sa normală.
În timp, acizii grași activează enzime, care pot produce subproduse toxice capabile să provoace leziuni ale celulelor hepatice, inflamații și cicatrizări. Această afecțiune este mai bine cunoscută sub numele de MASH (Metabolic dysfunction-Associated SteatoHepatitis) sau steatohepatită asociată cu disfuncția metabolică. Progresia către MASH este mai frecventă în prezența altor factori de risc, cum ar fi diabetul de tip 2, rezistența la insulină și sindromul metabolic.
Dacă nu este tratată, MASLD și MASH pot progresa și duce la cicatrizarea ficatului, insuficiență hepatică și, în unele cazuri, cancer. Acestea cresc, de asemenea, riscul de deces din cauza bolilor cardiovasculare și a complicațiilor hepatice.
În SUA, MASH este principala cauză a transplanturilor hepatice din cauza cancerului hepatic la femei și la persoanele de peste 65 de ani. De asemenea, este pe cale să depășească hepatitele B și C ca principală cauză a cancerului hepatic, necesitând astfel un transplant de ficat.
Boala hepatică și diabetul de tip 2
Trei din patru persoane cu diabet de tip 2 au MASLD. Legătura dintre boala hepatică, diabetul de tip 2 și obezitate este rezistența la insulină, care joacă un rol esențial în dezvoltarea acestora.
Obezitatea este asociată cu depozite crescute de grăsime în jurul organelor interne și niveluri mai ridicate de acizi grași livrați către ficat. Acumularea de grăsime în ficat îi crește rezistența la insulină.

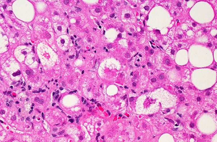
Petele mari albe din această imagine a MASLD indică celule hepatice umplute cu grăsime
Dr. David Kleiner, National Cancer Institute/NIH via TheConversation
În mod normal, insulina suprimă producția de glucoză în ficat atunci când nivelul zahărului din sânge este ridicat. Când ficatul devine rezistent la insulină, produce mai multă glucoză, în ciuda nivelurilor ridicate de zahăr din sânge, contribuind astfel la dezvoltarea diabetului de tip 2.
O meta-analiză din 2015 a constatat că persoanele cu MASLD au un risc de aproape două ori mai mare de a dezvolta diabet de tip 2 decât cele fără această afecțiune. MASLD este, de asemenea, mai probabil să progreseze către MASH în prezența diabetului de tip 2.
MASLD afectează disproporționat anumite grupuri etnice. De exemplu, 1 din 5 persoane de origine hispanică din SUA au MASLD, cu sau fără diabet. Se crede că acest lucru este legat de mutații genetice care afectează modul în care celulele hepatice procesează grăsimile. O anume mutație, mai comună la persoanele de origine hispanică, promovează steatoza prin interferarea cu capacitatea celulelor de a elimina depozitele de grăsime.
Tratarea MASLD și MASH
Partea pozitivă este că gestionarea obezității și a diabetului de tip 2 - cum ar fi prin schimbări în stilul de viață - este foarte similară cu gestionarea MASLD.
Intervenții timpurii împotriva diabetului de tip 2 pot ajuta, de asemenea, în privința MASLD, ceea ce nu este surprinzător, având în vedere cât de strâns legate sunt aceste două afecțiuni.
Cea mai bună modalitate de a inversa stadiile incipiente ale MASLD este pierderea în greutate prin obiceiuri alimentare sănătoase și exerciții fizice regulate. Scopul este de a pierde cel puțin 5% până la 10% din greutatea inițială, de a menține acea pierdere în greutate prin alegeri de viață sustenabile și realiste și de a evita consumul excesiv de alcool pentru a limita leziunile hepatice suplimentare.
Medicamentele noi pentru tratarea diabetului, precum agoniștii receptorilor GLP-1 (ex: Ozempic și Mounjaro), precum și inhibitorii SGLT2 (ex: Jardiance sau Invokana) au demonstrat, de asemenea, beneficii în stadiile incipiente ale MASLD. Aceste medicamente promovează pierderea în greutate, ceea ce, la rândul său, îmbunătățește MASLD. În plus, studiile au arătat că Ozempic și Mounjaro ar putea inversa MASH, chiar și în prezența inflamației și a fibrozei.
Medicamentele mai vechi utilizate pentru diabet, cum ar fi pioglitazona, pot, de asemenea, să ajute la reducerea progresiei MASH prin reducerea rezistenței la insulină.
La persoanele cu obezitate severă sau care nu au avut succes cu schimbările în stilul de viață și medicamentele pentru pierderea în greutate, chirurgia bariatrică este o altă opțiune foarte eficientă pentru tratarea MASLD, deoarece este asociată cu o pierdere semnificativă și susținută în greutate.
De asemenea, sunt în curs de dezvoltare noi medicamente. „Food and Drug Administration” a aprobat recent un nou medicament numit „resmetirom” pentru tratarea MASH cu cicatrizare hepatică avansată.
Cu toate acestea, un remediu pentru această boală cronică rămâne încă de identificat. Acesta este motivul pentru care este esențial să se diagnosticheze MASLD cât mai devreme posibil și să se utilizeze măsuri dovedite care pot fi menținute pe termen lung. Tratamentul și schimbările în stilul de viață trebuie implementate cât mai devreme, înainte ca inflamația și cicatrizarea să fie bine stabilite. MASH devine mai dificil de tratat în stadiile avansate, când leziunile hepatice devin ireversibile. De exemplu, în timp ce Ozempic poate ajuta la tratarea MASH în stadiile incipiente, nu aduce beneficii pacienților cu stadii mai avansate de cicatrizare hepatică.
Ignoranța nu este fericire
Foarte puțini oameni sunt conștienți de MASLD și de implicațiile sale asupra sănătății, inclusiv cei care trăiesc cu această afecțiune. Deși aproximativ peste 35% dintre adulții din SUA au MASLD, mai puțin de 5% sunt conștienți că au o boală hepatică.
MASH poate fi dificil de diagnosticat, deoarece fie nu are simptome, fie poate fi confundată cu alte afecțiuni. Pacienții pot avea această afecțiune timp de ani de zile, fără a fi conștienți că aceasta provoacă daune în mod lent. În acest sens, MASH este remarcabil de similar cu diabetul de tip 2 sau cu colesterolul ridicat.
Tinerii sunt din ce în ce mai des diagnosticați cu MASLD cu debut precoce. De fapt, MASLD cu MASH este cea mai frecventă afecțiune hepatică pediatrică, afectând aproape 8% dintre copii și adolescenți și peste 34% dintre copiii cu obezitate în SUA. Acești copii și adolescenți au un risc ridicat de a dezvolta diabet de tip 2 și au un risc semnificativ crescut de boli cardiovasculare și cancer pe parcursul vieții.
Costurile pentru îngrijirea sănătății persoanelor cu diabet de tip 2 și MASH sunt estimate să ajungă la 55 de miliarde de dolari în următorii 20 de ani, incluzând 65.000 de transplanturi hepatice, 1,37 milioane de decese legate de afecțiuni cardiovasculare și 812.000 de decese legate de afecțiuni hepatice.
Aceste statistici sumbre nu trebuie să devină realitate dacă MASH este abordată devreme și agresiv.
Dacă ai prediabet sau diabet și ești, de asemenea, supraponderal, cel mai probabil ai un anumit grad de MASLD sau MASH.
Conștientizarea cu privire la MASLD și efectuarea unui control sunt primii pași în abordarea acestei afecțiuni.
Determinarea rapidă a celui mai bun mod de a trata MASLD sau MASH este următorul pas. O trimitere timpurie la un specialist în boli hepatice te va ajuta să oprești progresia acestei afecțiuni dificile și comune și să profiți de progresele făcute în ultimii ani.
Autoarea, Madona Azar, este profesor asociat de medicină la UMass Chan Medical School.
Traducere și adaptare după Diabetes and obesity can damage the liver to the point of failure
Imagine: Pixabay
