O femeie a atins vârsta de 24 de ani fără ca cineva să realizeze că îi lipsea o parte a creierului: cerebelul. Acest caz pune în evidenţă încă o dată cât de adaptabil este creierul. Descoperirea a fost făcută atunci când femeia a ajuns la un spital militar chinez din provincia Shandong, plângându-se de dureri de cap şi greaţă.
Ea le-a spus doctorilor că a avut probleme cu mersul cam toată viaţa, iar mama ei i-a povestit că nu mersese până la vârsta de 7 ani, iar vorbirea i-a devenit inteligibilă abia la 6 ani.
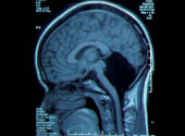
Doctorii şi-au dat seama rapid care-i problema, în urma unei tomografii: îi lipsea cerebelul. Spaţiul în care trebuie să fie această parte a creierului este lipsit de ţesut, plin cu un lichid cerebrospinal, care asigură o protecţie împotriva bolilor.
Cerebelul, numit şi creierul mic, este localizat sub cele două emisfere. Reprezintă circa 10 procente din volumul total al creierului, dar conţine 50% din neuronii unei persoane.

Se mai cunosc cazuri de oameni cărora le-a lipsit cerebelul. Dar o descriere detaliată a impactului lipsei cerebelului asupra sănătăţii omului lipseşte, întrucât majoritatea celor cu această problemă mor la o vârstă fragedă, descoperindu-se anomalia abia la autopsie.
Sarcina principală a cerebelului este aceea de a controla mişcările şi echilibrul. De asemenea, se consideră că este implicat în învăţarea anumitor mişcări şi în vorbire. Afecţiuni ale cerebelului pot duce la probleme cu mişcarea, epilepsie ori chiar la o acumulare fatală de lichid în creier.
Cu toate acestea, în cazul acestei femei lipsa cerebelului a avut ca efect doar o uşoară deficienţă din punct de vedere al mersului şi uşoare probleme cu vorbirea. Doctorii chinezi sunt de opinie că efectele sunt mult sub ce se aşteptau, cazul acestei tinere arătând remarcabila plasticitate a creierului. Doctorii mai sunt de opinie că parte din funcţiile cerebelului au fost preluate de către cortex.
Sursa: Woman-of-24-no-cerebellum
