![]()
Sânge uman, prezentând celule roșii biconcave, celule T (portocaliu) și trombocite (verde).
Credit: ZEISS Microscopy/Flickr, CC BY-NC-ND 2.0
Miliarde de ani de evoluție au dat organismelor vii o diversitate uimitoare de aspecte și de forme, de la neregularitatea amorfă a animalelor simple, cum ar fi spongii, până la formele sculptate și simetrice ale unor creaturi mai complexe, cum ar fi omul. Dar nu numai corpurile organismelor au o varietate mare de forme, ci și celulele care le constituie.
De obicei formele celulelor sunt legate de funcția lor. De exemplu, neuronii din creierul nostru au ramuri stelate pentru a se conecta cu alți neuroni, iar celulele roșii din sânge au forma unor discuri biconcave pentru a-şi maximiza capacitatea de a transporta oxigen, permițându-le totodată să se strecoare şi prin cele mai înguste vase de sânge. Prin contrast, macrofagele (un tip de celule albe din sânge) s-au adaptat altfel, forma lor de amibă ajutându-le să înghită corpuri străine.
În lumea plantelor, formele de celule variază de la formele spinoase elaborate ale granulelor de polen – adaptate pentru a capta vântul sau pentru a adera la insecte polenizante – până la forma de rinichi expandabilă a celulelor de protecţie, care deschid și închid porii frunzelor. Celulele pot avea și forme mai complicate, cum ar fi prismele răsucite sau 'scutoidele', acestea reprezentând calea naturii de a permite țesuturilor epiteliale să se curbeze.
Granule de polen dintr-o varietate de plante comune, arătându-şi formele diverse.
Credit: Dartmouth College Electron Microscope Facility/Wikimedia Commons, CC0
Modificarea formelor
Deși forma unei celule este legată de rolul său funcțional, multe celule au potențialul de a-și schimba forma. Această abilitate este esențială în dezvoltarea embrionară, atunci când țesuturile suferă transformări dramatice de pliere, ridare și îndoire, pe măsură ce se generează organele. De exemplu, în embrionii muștei-de-fructe procesul de gastrulare – în timpul căruia o biluţă embrionară de celule începe să se diferențieze în țesuturi distincte – este condus de o schimbare a formei celulare cunoscută sub numele de constricție apicală. Celulele epiteliale de pe o parte a embrionului îşi schimbă forma de la aspectul de coloană la aspectul de sticlă, determinând epiteliul să se înfășoare într-un tub (vezi figura 1, mai jos).
Modificări majore ale formei celulelor apar și atunci când grupuri de celule migrează dintr-o parte a embrionului în alta. În embrionii peştelui-zebră, celulele implicate în dezvoltarea 'liniei laterale' (un organ de simţ al peștelui) cresc mici protuberanțe mobile numite filopodia și lamellipodia. Ele apar la marginea din faţă a ciorchinelui de celule ca și când ar conduce întregul grup într-o anumită direcție (vezi figura 2, mai jos).
Figura 1: Gastrulaţia în embrionul muştei-de-fructe: celulele epiteliale îşi modifică forma, determinând plierea.
Credit: Priyamvada Chugh/Nicola Graf
Figura 2: Migrarea ciorchinelui de celule, arătând modificările formei celulei pe marginea anterioară.
Credit: Priyamvada Chugh/Nicola Graf
De asemenea, schimbarea formei este importantă şi în diviziunea celulară, care joacă un rol crucial în multe procese de dezvoltare. Când începe mitoza (diviziunea celulară), forma celulelor se modifică din plată în sferică. Experimentele care au vizat celule aflate în diviziune în interiorul unor canale microscopice care le restricționau dimensional au arătat că etapa sferică este esențială pentru a distribui egal cromozomii între celulele fiice. Dacă se împiedică această schimbare de formă, diviziunea celulară eșuează (Lancaster et al., 2013).
Controlarea formei celulei
Dar ce anume controlează forma celulei? Deși deocamdată nu am ajuns la o înțelegere deplină, am descoperit câteva dintre procesele moleculare și mecanice care determină forma celulei. Aceste descoperiri vin în mare parte de la cercetări ale unor organisme de laborator familiare, precum muștele-de-fructe și peştele-zebră, sau de la celule canceroase crescute în cultură, însă multe dintre procesele implicate sunt susceptibile de a fi universale.
O parte importantă a celulei care influențează forma este cortexul – o rețea de proteine structurale ce formează un strat sub membrana exterioară a celulei. Proprietățile fizice ale cortexului determină cât de rigidă sau cât de moale este suprafața celulei și, prin urmare, cât de maleabilă este celula în ansamblu. Cortexul constă în principal din două tipuri de proteine care sunt înrudite cu proteinele ce fac fibrele musculare să se contractate: actina, care formează microfilamente lungi; și miozina, care se leagă de microfilamentele cu actină și foloseşte energia chimică pentru a le trage, acționând ca un motor. Acest sistem generează contracție într-un mod similar sistemului actomiozinic din mușchi.
Imaginea unei celule de pielă umană în cultură, arătând filamentele de actină în roşu şi nucleul celulei în albastru.
Credit: Vshivkova/Shutterstock.com
De asemenea, oamenii de știință au identificat sute de proteine regulatoare ce interacționează cu microfilamentele actinice din cortex. Aflarea modului în care aceste proteine afectează cortexul, şi deci şi forma celulară, constituie o arie de cercetare activă. O tehnică comună folosită pentru a le studia constă în a bloca la un moment dat producția de proteine regulatoare folosind siRNA (mici molecule de interferență ARN). Alte experimente au investigat modul în care oprirea 'motoarelor' de miozină sau tăierea microfilamentelor de actină în fragmente afectează forma celulei.
O descoperire cheie constă în faptul că cortexul actomiozinic controlează forma celulară prin crearea de tensiune în suprafața celulei, similar tensiunii din învelişul unui balon. Dacă motoarele de miozină sunt inhibate sau dacă filamentele actinei sunt descompuse, tensiunea se pierde și suprafața celulei formează umflături, perturbându-i forma.
În multe cazuri, formele celulelor sunt dictate de forțe externe. De exemplu, celulele epiteliale din aripile unei muște-de-fructe formează forme hexagonale, deoarece ele sunt împachetate împreună într-un fagure strâns, cu fiecare celulă înconjurată de cel puţin șase celule-vecin. În mod similar, celulele care se aliniază pentru a forma capilarele sanguine sunt sculptate de fluxul de sânge, determinându-le să devină alungite și aliniate paralel cu fluxul.
Forma celulei şi bolile
Anumite modificări în forma celulelor au un rol-cheie în dezvoltarea multor boli, inclusiv cele cauzate de organismele infecțioase sau cele declanșate de gene defecte. De exemplu, mutațiile cauzatoare de cancer pot face ca celulele să-și piardă acea aderență care le ţine legate de celulele vecine, făcându-le amorfe și deformabile – şi astfel facilitându-le să călătorească și să crească în alte părți ale corpului.
În boala Alzheimer, mutațiile afectează dendritele ramificate care adună laolaltă celule ale creierului, făcându-le mai scurte sau mai grosier ramificate.
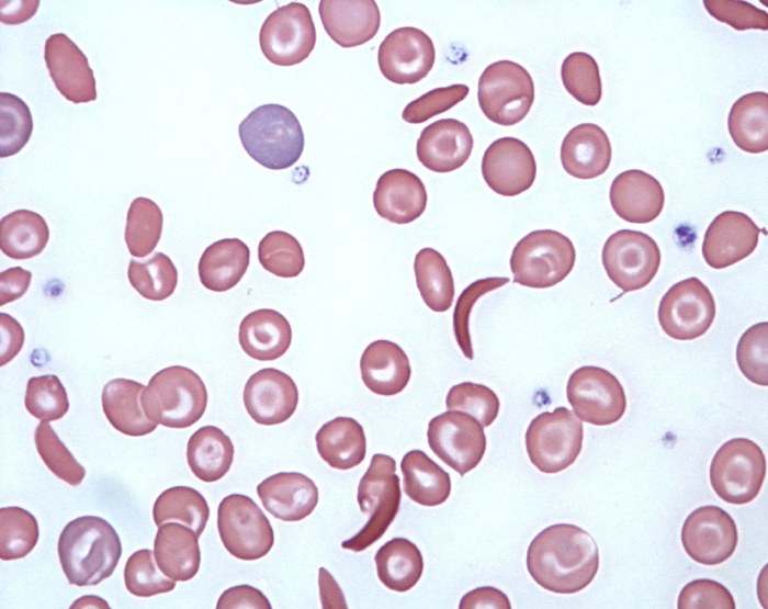
În anemia falciformă (siclemia), o mutație impune celulelor roșii sanguine o formă curbată, de seceră, în timp ce în malarie – boală ce apare atunci când parazitul Plasmodium infectează celulele roșii din sânge – celulele devin mai rigide și mai puțin deformabile.

Celule sanguine roşii, unele prezentând forma caracteristică curbată ce cauzează anemia falciformă.
Credit: Viv Caruna/Flickr, CC BY-2.0

Celule sanguine roşii, între care una (în centru) cu modificare a formei datorată malariei
Credit: Rick Fairhurst/Jordan Zuspann/National Institute of Allergy and Infectious Diseases/National Institutes of Health/Flickr, CC BY-NC 2.0
Chiar dacă acum știm că anomalii ale formei celulare sunt văzute în unele dintre cele mai comune și mai greu tratabile boli (cum ar fi cancerul sau boala Alzheimer), nu este întotdeauna clar dacă aceste defecte au rol de cauzalitate sau sunt doar simptome de boală (efecte ale bolii). Cu toate acestea, studiul formei celulare și noile tehnici folosite oferă o nouă linie de cercetare pentru investigarea modului în care se dezvoltă astfel de boli.
De exemplu, colaborarea dintre biologi și fizicieni a produs o tehnică numită citometrie de deformabilitate în timp-real, sau RTDC. Pe lângă progresul înțelegerii formei celulare și a rolului ei în dezvoltare și în boală, această nouă tehnică se poate dovedi o modalitate eficientă de detectare a celulelor canceroase într-un stadiu incipient. Astfel de tehnici oferă speranța de noi metode de diagnostic care ar putea salva vieți prin detectarea prematură a bolii, când tratamentul are șanse mult mai mari de succes.
Tehnologia formei celulare
Tehnologiile din ultimii ani au făcut posibilă măsurarea tensiunii în membrana celulelor individuale, care, la rândul lor, ne indică cât de multă tensiune există în cortexul subiacent. Cele mai cunoscute trei tehnici pentru măsurarea tensiunii celulare sunt: microscopia forței atomice, aspirația prin micropipetă și ablația laser.
Figura 3: Microscopia forței atomice.
Credit: Priyamvada Chugh/Nicola Graf
Microscopia forței atomice foloseşte un mic vârf de metal, mai subţire decât un fir de păr, pentru a cerceta suprafața celulei (figura 3). Măsura deformării înregistrate de sondă arată cât de rigidă este suprafața. Folosind această tehnică, oamenii de ştiinţă au descoperit că o creştere a tensiunii superficiale conduce la schimbarea formei de la plat la sferic în stadiul incipient al diviziunii celulare.
Cea de-a doua tehnică, aspirația prin micropipetă, implică măsurarea forței necesare pentru a aspira o porțiune dintr-o celulă (din membrana celulei) într-o pipetă microscopică (figura 4).
Ablația laser presupune întreruperea rețelei de microfilamente de actină în cortex cu un laser și măsurarea reculului ulterior pe măsură ce acele două laturi ale cortexului se fixează înapoi ca niște benzi de cauciuc tăiate.
Figura 4: Aspirația prin micropipetă
Credit: Priyamvada Chugh/Nicola Graf
Deși toate aceste trei metode sunt eficiente, ele evaluează doar o singură celulă la un moment dat. O altă tehnică, citometria cu deformabilitate în timp-real (RTDC), poate evalua sute de celule pe secundă (Otto et al., 2015). În RTDC, o suspensie de celule este pompată cu seringa printr-un canal microscopic. Forțele din lichidul care curge determină celulele anormal de moi – cum ar fi celulele canceroase – să se deformeze, în timp ce celulele mai rigide sunt mai puțin afectate. O cameră video/foto conectată la microscop înregistrează imagini ale celulelor care trec, iar acestea sunt procesate prin software.
Progresele din domeniul opticii au făcut posibilă şi captarea de imagini 3D detaliate ale celulelor vii și chiar ale moleculelor individuale de proteine din interiorul celulelor, prin folosirea de microscoape cu scanare laser. Aceste microscoape de rezoluție foarte mare au arătat că filamentele actinice ale cortexului se organizează în legături paralele la ecuatorul celular în timpul mitozei, maximizând tensiunea pe care o generează și astfel prinzând celula între două celule fiice.
Bibliografie
• Lancaster OM et al. (2013) Mitotic rounding alters cell geometry to ensure efficient bipolar spindle formation. Developmental Cell 25: 270–283. doi: 10.1016/j.devcel.2013.03.014
• Otto O et al. (2015) Real-time deformability cytometry: on-the-fly cell mechanical phenotyping. Nature Methods 12: 199–202. doi: 10.1038/nmeth.3281
Articolul original: Celulele. De ce contează forma. C-BY
