Odată cu inventarea microscopului (secolul XIV) s-a observat şi demonstrat că unele afecţiuni sunt produse de bacterii sau alte organisme de mici dimensiuni. Au mai trecut câteva secole până a fost inventat microscopul electronic.
Cu ajutorul microscopului electronic s-a putut „privi” mai adânc în celulă, demonstrându-se astfel existenţa virusurilor.
Majoritatea bolilor au un agent cauzator. Totuşi există o serie de afecţiuni a căror etiologie nu este cunoscută. Din această categorie au făcut parte bolile prionice. Se cunosc câteva boli prionice la om şi animale, unele sunt ereditare, altele se transmit precum infecţiile (transmitere pe verticală şi pe orizontală).
Una dintre cele mai cunoscute boli prionice este scrapia. De când a fost consemnată, s-a încercat stabilirea unei cauze, astfel s-au emis o serie de ipoteze – infecţia cu un protozoar, infecţia cu un virus, ipoteza unei boli ereditare. Până la urmă, în 1988 Stanley Prusiner pune capăt controverselor prin descoperirea prionilor.
Ce sunt prionii?
Prionii sunt proteine infecţioase cu diametrul de 50 nm ce nu conţin nici un fel de material genetic (ADN sau ARN) pentru a le asigura producerea de descendenţi, cum se întâmplă la bacterii sau virusuri. Prionii sunt izomorfe ale unei proteine normale ce se găsesc la om şi la unele animale. La om, gena care codifică proteina prionică normală (PrP) se găseşte pe cromozomul 20. Funcţia acestei proteine nu se cunoaşte, dar izomorfa patogenă produce bolile prionice.
Bolilele prionice care afectează animalele sunt scrapia, encefalopatia transmisibilă a nurcilor şi encefalopatia spongiformă bovină (boala vacii nebune), iar la om sunt boala Kuru, boala Creutzfeld-Jacob, sindromul Gerstmann-Straussler-Scheincker, insomnia fatală familială şi boala Alzheimer.
Rezistenţa prionilor în mediul exterior este remarcabilă – rezistă la autoclavă până la 90 de minute la 134°C. Astfel s-a putut explica transmiterea scrapiei la vite – vitele au fost hrănite cu făină de oase produsă din oi bolnave de scrapie. Transmiterea bolii vacii nebune la om a fost posibilă prin consumul de carne de la vitele infectate, deşi fusese prelucrată termic. Leziunile determinate de izomorfa proteinei prionice se manifestă doar în ţesuturile unde acestea realizează concentraţii mai mari - creier, măduva spinării şi ochi.
Boli prionice la om
Boala Kuru, frecvent fatală la femeile din Fore, Noua Guinee (1739 de decese la femei, comparativ cu 248 la bărbat, în perioada 1957 – 1966) a fost prima boală prionică umană transmisă experimental la animale. Boala a dispărut odată cu dispariţia obiceiului de a consuma creierul rudelor moarte.
Boala Creutzfeld-Jacob în forma sa infecţioasă poate fi iatrogenă prin transplantul de ţesuturi de la donatori infectaţi (cornee, timpan) sau prin folosirea unor instrumente medicale contaminate, dar ineficient sterilizate sau poate fi produsă prin obiceiuri alimentare – consumul de creier sau ochi de oaie prelucrate prea puţin termic.
Boala Alzheimer cunoscută ca fiind ereditară şi sporadică, are o nouă cauză – mutaţii ale genei ce codifică PrP, deci o boală prionică.
În concluzie
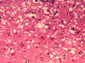
Bolile prionice la om evoluează spre deces. Diagnosticul de boală prionică umană (BPU) în timpul vieţii este mai rar, în schimb după decesul pacientului se poate studia din punct de vedere histopatologic creierul pentru obţinerea unui diagnostic de certitudine.
Prionii diferă de toate microorganismele cunoscute – bacterii, fungi, virusuri sau viroizii şi sunt agenţi cauzali ai unor pseudo-infecții – bolile prionice (nu sunt infecţii propriu-zise, dar terminologia rămâne, din cauza unor protocoale de cercetare ce aparţin virusologiei).
Bibliografie
Microbiologie medicală, Buiuc D.
