
Cum se formează celula tumorală
În ultima perioadă reprezintă o afecţiune din ce în ce mai des întâlnită - şi nu doar în cadrul populaţiei vârstnice. Un raport al Organizației Mondiale a Sănătății publicat pe 12 septembrie 2018 arată că în 2018 au existat 18,1 milioane de cazuri noi de cancer şi 9,6 milioane de decese cauzate de aceasta. Împărţind pe sexe, 1 din 5 bărbaţi şi 1 din 6 femei dezvoltă o formă de cancer de-a lungul vieţii, conform aceluiaşi raport. Cel mai frecvent este cel pulmonar cu 2,1 milioane de cazuri noi şi 1,76 milioane decese, după cum arată un raport publicat în mai 2019 în cadrul campaniei Săptămâna europeană de luptă împotriva cancerului (organizată de Asociația Europeană a Ligilor de Luptă contra Cancerului). Este una din realităţile înconjurătoare şi de aceea este important să înţelegem despre ce este vorba şi să avem o viziune corectă.
• Ce este deci, cancerul?
Cancerul propriu-zis este o populaţie celulară a cărei creştere scapă de sub control. Înainte de a ajunge să vorbim despre tumora macroscopică, trebuie avut în vedere faptul că în biologie totul începe de la microscopic şi sfârşeşte către macroscopic.
Aşadar, înainte ca tumora să se fie vizibilă într-un anumit ţesut, ea se formează începând de la o singură celulă, care suferă mutaţii. În urma acestor mutaţii celula începe să crească şi să se înmulţească necontrolat, ajungând să formeze conglomerate de celule care se vor organiza sub forma unei tumori. Aceasta din urmă continuă să crească (proces numit extensie locală), apoi se va extinde prin diverse căi în alte organe şi ţesuturi (proces numit metastazare).
• Cum începe totul?
Toate cancerele îşi au originea în una (cel mai frecvent) sau mai multe (cazuri rare, de obicei de natură virală) celule normale ale corpului. Sub influenţa factorilor de mediu şi genetici celula normală suferă modificări care o fac să devină celulă malignă. Aceasta se va înmulţi dezvoltând atât mutaţii adiţionale, cât şi modificări de structură. Celula deveni mai agresivă, mai rezistentă la tratament, iar modificările survenite includ incapacitatea de a se mai opri din creştere la contactul cu alte celule, deci se va dezvolta dezorganizat, iar creşterea va fi pe model exponenţial.
Când se atinge un prag de aproximativ 105 celule, tumora devine detectabilă imagistic, dar nu neapărat simptomatică. Acest lucru înseamnă că dacă pacientul îşi face investigaţii ce au rol de a identifica afecţiunea din timp, proces numit screening, medicul poate vizualiza tumora din stadiile de început şi să trateze boala corespunzător. În acest timp pacientul poate să nu prezinte simptome specifice, adică să se simtă bine şi boala să avanseze fără a fi percepută.
Există mai multe metode de screening, iar printre cele mai importante putem enumera radiografia, ecografia, mamografia (investigaţia prin care se poate detecta din timp un cancer al sânului), testul Babeş-Papanicolau (pentru cancerul de col uterin), colonoscopia sau endoscopia (pentru cancerul digestiv). În paralel se formează vase noi de sânge pentru că un ţesut cu creştere rapidă aşa cum este tumora canceroasă are nevoie de un aport nutritiv crescut.
• Cum metastazează?
Există mai multe teorii şi explicaţii ale acestui proces. În principiu celulele se pot desprinde de tumora principală şi să intre în circulaţie, proces numit metastazare. În funcţie de tip, pot metastaza pe cale sangvină, limfatică, din aproape în aproape, prin cavităţile naturale ale corpului, peritoneal, prin lichidul cefalorahidian, pe cale nervoasă sau mixt.
Pe cale sangvină înseamnă că pătrund în vasele de sânge care se găsesc în interiorul sau în vecinătatea organului în cauză.
Metastazarea pe cale limfatică înseamnă că celulele intră în vasele limfatice (un sistem ce are rolul de a reintroduce lichidul din spaţiul dintre celule în sânge), iar apoi se deplasează cu ajutorul lor spre alte organe.
Pe cale peritoneală metastazează tumorile din sfera ginecologică sau digestivă, ale căror celule se pot întinde către peritoneu (foiţa care le înveleşte) şi apoi pot cuprinde organele vecine.
Tumorile vertebrale sau cerebrale pot pătrunde în lichidul din jur (numit lichid cefalorahidian) şi să fie transportate de acesta către alte segmente. Când tumora se află în vecinătatea nervilor, poate să îi cuprindă şi chiar să se extindă de-a lungul lor. Atunci când sunt atinşi nervii, apar simptome precum amorţeli, senzaţii de arsură, senzaţie de ace la nivelul unui segment al corpului, poate apărea incapacitatea de a folosi o parte a corpului.
În interiorul acestor celule există unele enzime (proteine cu diverse roluri printre care: controlul ciclului celular, descompunerea unor molecule sau executarea unor procese) care distrug adeziunile intercelulare şi membranele bazale şi favorizează în acest fel migrarea către vasul sangvin sau limfatic. Sunt transportate apoi prin vasele de sânge, formând grupe de celule tumorale, până când se opresc în interiorul altui organ sau ţesut, unde se implantează şi formează noi tumori.
Metastaza este un semn de gravitate al bolii şi scade semnificativ supravieţuirea, de aceea este esenţială prezentarea la medic din timp şi tratarea stadiilor incipiente. Atunci când sunt transportate pe cale limfatică, primul ganglion în care se opresc se numeşte ganglion santinelă.
• Care sunt simptomele?
Semnele şi simptomele sunt specifice fiecărei forme de cancer, dar sunt unele manifestări generale care pot trage un semnal de alarmă în ceea ce priveşte existenţa bolii. Printre acestea se numără:
› scăderea în greutate fără ca pacientul să îşi dorească asta. Apetitul poate fi păstrat, selectiv pentru anumite alimente sau să fie prezentă inapetenţa.
› oboseală inexplicabilă;
› febra apare mai frecvent în afecţiunile hematologice şi metastaze, dar şi în unele tumori solide;
› ganglioni măriţi de volum, nedureroşi, fermi la palpare, aderenţi la planul pielii sau cel subiacent;
› transpiraţii abundente, în special noaptea. Sunt un semn de hipermetabolism.
• Care este evoluţia naturală?
Tumora poate ajunge să înlocuiască organul în care se dezvoltă în totalitate, poate da complicaţii locale şi generale şi la final să metastazeze. Majoritatea deceselor prin cancer sunt cauzate de metastaze, dar un procent important îl ocupă şi complicaţiile, care pot fi de mai multe feluri:
› ocluzii, cum se întâmplă în cazul cancerelor gastro-intestinale;
› sângerări, prin ruperea vaselor de sânge;
› infecţii;
› fistulizare (formare unei „căi de comunicare” între organe);
› hemoragii sau cheaguri de sânge;
› paraneoplazii (declanşarea unor manifestări ce pot mima afecţiuni endocrinologice sau metabolice prin secreţia de către tumoră a unor compuşi cu diverse roluri în organism).

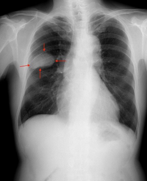
Tumoră - cancer pulmonar
Unul dintre cele mai agresive cancere este cel pulmonar microcelular, din pricina detecţiei tardive şi a capacităţii de metastazare până este descoperit. El devine sesizabil atunci când pacientul prezintă simptome (tuse cu sau fără sânge, febră, scădere în greutate, oboseală etc.) sau când are o dimensiune suficient de mare astfel încât să fie observat pe radiografie.
Totuşi, descoperite şi tratate în stadii incipiente multe tipuri de cancer pot fi curabile, cu supravieţuire semnificativă de până la 5 şi 10 ani.
De ce este atât de greu să găsim un tratament pentru cancer?
[subtitrare în lb. română]
